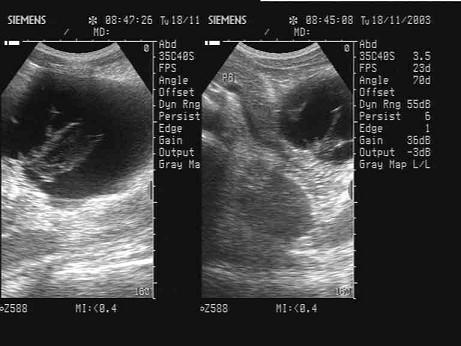
患者,女,42岁。3周前患急性胰腺炎,并给予治疗,现超声复查胰腺如图,诊断为?(?)A.急性胰腺炎B.胰腺真性囊肿C.胰腺假性囊肿D.后腹...

作者: rantiku 人气: - 评论: 0
问题 患者,女,42岁。3周前患急性胰腺炎,并给予治疗,现超声复查胰腺如图,诊断为?(?)
选项 A.急性胰腺炎 B.胰腺真性囊肿 C.胰腺假性囊肿 D.后腹膜肿瘤 E.胰腺囊腺癌
答案 C
解析

猜你喜欢

发表评论
更多 网友评论0 条评论)
暂无评论

访问排行

Copyright © 2012-2014 恰考网 Inc. 保留所有权利。 Powered by tikuer.com

页面耗时0.0385秒, 内存占用1.03 MB, Cache:redis,访问数据库15次