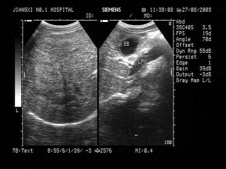
根据以下肝超声检查声像图,诊断为?(?)A.肝癌并门脉癌栓B.肝硬化C.脂肪肝D.肝炎E.血吸虫性肝硬化并门脉血栓

作者: rantiku 人气: - 评论: 0
问题 根据以下肝超声检查声像图,诊断为?(?)
选项 A.肝癌并门脉癌栓 B.肝硬化 C.脂肪肝 D.肝炎 E.血吸虫性肝硬化并门脉血栓
答案 A
解析

猜你喜欢

发表评论
更多 网友评论0 条评论)
暂无评论

访问排行

Copyright © 2012-2014 恰考网 Inc. 保留所有权利。 Powered by tikuer.com

页面耗时0.0417秒, 内存占用1.03 MB, Cache:redis,访问数据库19次