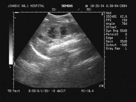
某患者摔伤左腹部,左腹部疼痛不适,恶心,无呕吐。急诊超声检查,根据左腹部超声声像图,诊断为?(?)A.正常声像图B.脾破裂C.脾淋巴管囊肿...

作者: rantiku 人气: - 评论: 0
问题 某患者摔伤左腹部,左腹部疼痛不适,恶心,无呕吐。急诊超声检查,根据左腹部超声声像图,诊断为?(?)
选项 A.正常声像图 B.脾破裂 C.脾淋巴管囊肿 D.脾梗死 E.脾结核
答案 B
解析

猜你喜欢

发表评论
更多 网友评论0 条评论)
暂无评论

访问排行

Copyright © 2012-2014 恰考网 Inc. 保留所有权利。 Powered by tikuer.com

页面耗时0.0335秒, 内存占用1.03 MB, Cache:redis,访问数据库14次