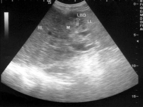
患者男56岁,上腹部疼痛不适1个月余。体检:皮肤、巩膜进行性黄染,上腹部叩击痛(+),B超检查如图所示,根据超声声像图,诊断为?(?)A.胆管细胞性肝...

作者: rantiku 人气: - 评论: 0
问题 患者男56岁,上腹部疼痛不适1个月余。体检:皮肤、巩膜进行性黄染,上腹部叩击痛(+),B超检查如图所示,根据超声声像图,诊断为?(?)
选项 A.胆管细胞性肝癌 B.肝内胆管结石 C.肝细胞性肝癌 D.肝脓肿 E.肝囊肿
答案 A
解析

猜你喜欢

发表评论
更多 网友评论0 条评论)
暂无评论

访问排行

Copyright © 2012-2014 恰考网 Inc. 保留所有权利。 Powered by tikuer.com

页面耗时0.0393秒, 内存占用1.02 MB, Cache:redis,访问数据库14次