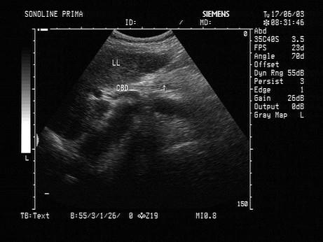
女,27岁,上腹部剧烈疼痛2天。声像图如图所示,诊断为?(?)A.胆道蛔虫B.胆道结石C.胆道胆汁淤积D.引流管回声E.胆管癌

作者: rantiku 人气: - 评论: 0
问题 女,27岁,上腹部剧烈疼痛2天。声像图如图所示,诊断为?(?)
选项 A.胆道蛔虫 B.胆道结石 C.胆道胆汁淤积 D.引流管回声 E.胆管癌
答案 A
解析

猜你喜欢

发表评论
更多 网友评论0 条评论)
暂无评论

访问排行

Copyright © 2012-2014 恰考网 Inc. 保留所有权利。 Powered by tikuer.com

页面耗时0.0436秒, 内存占用1.03 MB, Cache:redis,访问数据库19次