某患者二年前行左肾癌切除术,现B超复查。根据其肝脏超声声像图,诊断为?(?)A.肝多发血管瘤B.肝多发转移癌C.原发性肝癌D.结节性肝硬化...

作者: rantiku 人气: - 评论: 0
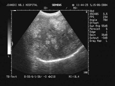
问题 某患者二年前行左肾癌切除术,现B超复查。根据其肝脏超声声像图,诊断为?(?)
选项 A.肝多发血管瘤 B.肝多发转移癌 C.原发性肝癌 D.结节性肝硬化 E.肝多发性囊肿
答案 B
解析

猜你喜欢

发表评论
更多 网友评论0 条评论)
暂无评论

访问排行

Copyright © 2012-2014 恰考网 Inc. 保留所有权利。 Powered by tikuer.com

页面耗时0.0358秒, 内存占用1.03 MB, Cache:redis,访问数据库19次