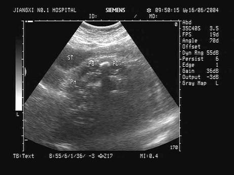
患者,女,35岁,有急性胰腺炎病史,现感上腹不适。结合中上腹超声声像图表现,诊断是?(?)A.胰腺占位并胰管扩张B.急性胰腺炎C.慢性胰腺炎并...

作者: rantiku 人气: - 评论: 0
问题 患者,女,35岁,有急性胰腺炎病史,现感上腹不适。结合中上腹超声声像图表现,诊断是?(?)
选项 A.胰腺占位并胰管扩张 B.急性胰腺炎 C.慢性胰腺炎并胰管结石 D.胆总管结石 E.胰腺癌
答案 C
解析

猜你喜欢

发表评论
更多 网友评论0 条评论)
暂无评论

访问排行

Copyright © 2012-2014 恰考网 Inc. 保留所有权利。 Powered by tikuer.com

页面耗时0.0435秒, 内存占用1.03 MB, Cache:redis,访问数据库19次