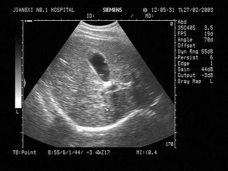
女,32岁,偶感右上腹不适多年。声像图如图所示,最可能的诊断为?(?)A.胆囊结石B.胆囊蛔虫C.胆囊胆固醇结晶D.胆囊息肉E.胆囊腺瘤

作者: rantiku 人气: - 评论: 0
问题 女,32岁,偶感右上腹不适多年。声像图如图所示,最可能的诊断为?(?)
选项 A.胆囊结石 B.胆囊蛔虫 C.胆囊胆固醇结晶 D.胆囊息肉 E.胆囊腺瘤
答案 D
解析

猜你喜欢

发表评论
更多 网友评论0 条评论)
暂无评论

访问排行

Copyright © 2012-2014 恰考网 Inc. 保留所有权利。 Powered by tikuer.com

页面耗时0.0417秒, 内存占用1.03 MB, Cache:redis,访问数据库20次