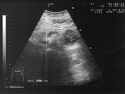
女,51岁,纳差、消瘦。结合超声声像图,诊断为?(?)A.胰腺癌B.腹膜后肿块C.胰岛细胞瘤D.胃癌E.胰腺炎

作者: rantiku 人气: - 评论: 0
问题 女,51岁,纳差、消瘦。结合超声声像图,诊断为?(?)
选项 A.胰腺癌 B.腹膜后肿块 C.胰岛细胞瘤 D.胃癌 E.胰腺炎
答案 A
解析

猜你喜欢

发表评论
更多 网友评论0 条评论)
暂无评论

访问排行

Copyright © 2012-2014 恰考网 Inc. 保留所有权利。 Powered by tikuer.com

页面耗时0.0479秒, 内存占用1.03 MB, Cache:redis,访问数据库19次