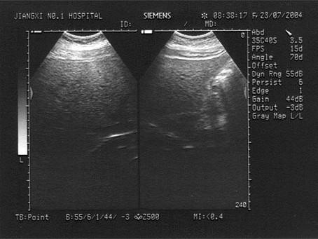
男,19岁。上腹部不适,肥胖。结合超声声像图,诊断为?(?)A.肝癌B.肝硬化C.脂肪肝D.肝炎E.肝豆状核变性

作者: rantiku 人气: - 评论: 0
问题 男,19岁。上腹部不适,肥胖。结合超声声像图,诊断为?(?)
选项 A.肝癌 B.肝硬化 C.脂肪肝 D.肝炎 E.肝豆状核变性
答案 C
解析

猜你喜欢

发表评论
更多 网友评论0 条评论)
暂无评论

访问排行

Copyright © 2012-2014 恰考网 Inc. 保留所有权利。 Powered by tikuer.com

页面耗时0.0519秒, 内存占用1.03 MB, Cache:redis,访问数据库20次