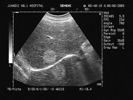
如图所示,是超声波的何种伪像?(?)A.镜面效应B.振铃效应C.旁瓣效应D.部分容积效应E.声影

作者: rantiku 人气: - 评论: 0
问题 如图所示,是超声波的何种伪像?(?)
选项 A.镜面效应 B.振铃效应 C.旁瓣效应 D.部分容积效应 E.声影
答案 A
解析

猜你喜欢

发表评论
更多 网友评论0 条评论)
暂无评论

访问排行

Copyright © 2012-2014 恰考网 Inc. 保留所有权利。 Powered by tikuer.com

页面耗时0.0374秒, 内存占用1.03 MB, Cache:redis,访问数据库19次