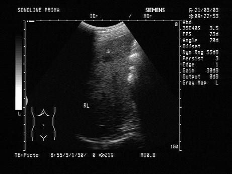
男,49岁,肥胖,血脂增高。结合超声声像图诊断为?(?)A.炎性假瘤B.非均匀性脂肪肝C.肝硬化D.肝结节病E.肝炎

作者: rantiku 人气: - 评论: 0
问题 男,49岁,肥胖,血脂增高。结合超声声像图诊断为?(?)
选项 A.炎性假瘤 B.非均匀性脂肪肝 C.肝硬化 D.肝结节病 E.肝炎
答案 B
解析

猜你喜欢

发表评论
更多 网友评论0 条评论)
暂无评论

访问排行

Copyright © 2012-2014 恰考网 Inc. 保留所有权利。 Powered by tikuer.com

页面耗时0.0330秒, 内存占用1.03 MB, Cache:redis,访问数据库19次