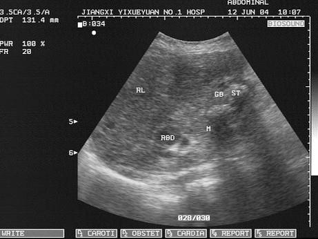
女,47岁,上腹部疼痛十多年,加重2个月余,皮肤巩膜黄染,进行性加重,皮肤搔痒,声像图如图所示(肝内胆管扩张),结合超声声像图,诊断为?(?)A.肝癌...

作者: rantiku 人气: - 评论: 0
问题 女,47岁,上腹部疼痛十多年,加重2个月余,皮肤巩膜黄染,进行性加重,皮肤搔痒,声像图如图所示(肝内胆管扩张),结合超声声像图,诊断为?(?)
选项 A.肝癌 B.右肾癌 C.胆囊结石并胆囊炎 D.胆囊结石并胆囊癌 E.肝脓肿
答案 D
解析

猜你喜欢

发表评论
更多 网友评论0 条评论)
暂无评论

访问排行

Copyright © 2012-2014 恰考网 Inc. 保留所有权利。 Powered by tikuer.com

页面耗时0.0482秒, 内存占用1.03 MB, Cache:redis,访问数据库17次