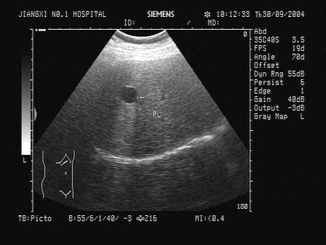
根据肝脏声像图表现,诊断为?(?)A.转移性肝癌B.肝血管瘤C.肝脓肿D.肝囊肿E.肝内胆管囊状扩张

作者: rantiku 人气: - 评论: 0
问题 根据肝脏声像图表现,诊断为?(?)
选项 A.转移性肝癌 B.肝血管瘤 C.肝脓肿 D.肝囊肿 E.肝内胆管囊状扩张
答案 D
解析

猜你喜欢

发表评论
更多 网友评论0 条评论)
暂无评论

访问排行

Copyright © 2012-2014 恰考网 Inc. 保留所有权利。 Powered by tikuer.com

页面耗时0.0370秒, 内存占用1.03 MB, Cache:redis,访问数据库20次