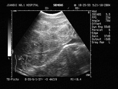
根据肝脏声像图表现,最可能的诊断是?(?)A.原发性肝癌B.血吸虫肝C.结节性肝硬化D.肝炎E.不均匀性脂肪肝

作者: rantiku 人气: - 评论: 0
问题 根据肝脏声像图表现,最可能的诊断是?(?)
选项 A.原发性肝癌 B.血吸虫肝 C.结节性肝硬化 D.肝炎 E.不均匀性脂肪肝
答案 B
解析

猜你喜欢

发表评论
更多 网友评论0 条评论)
暂无评论

访问排行

Copyright © 2012-2014 恰考网 Inc. 保留所有权利。 Powered by tikuer.com

页面耗时0.0422秒, 内存占用1.03 MB, Cache:redis,访问数据库20次