男,57岁,慢性乙肝多年,现上腹痛,纳差,AFP>500,结合超声声像图,诊断为?(?)A.肝血管瘤B.肝脓肿C.结节性肝硬化D.弥漫性肝...

作者: rantiku 人气: - 评论: 0
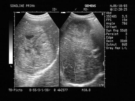
问题 男,57岁,慢性乙肝多年,现上腹痛,纳差,AFP>500,结合超声声像图,诊断为?(?)
选项 A.肝血管瘤 B.肝脓肿 C.结节性肝硬化 D.弥漫性肝癌 E.脂肪肝
答案 D
解析

猜你喜欢

发表评论
更多 网友评论0 条评论)
暂无评论
错误啦!

错误信息

  • 消息: [程序异常] : MISCONF Redis is configured to save RDB snapshots, but it's currently unable to persist to disk. Commands that may modify the data set are disabled, because this instance is configured to report errors during writes if RDB snapshotting fails (stop-writes-on-bgsave-error option). Please check the Redis logs for details about the RDB error.
  • 文件: /twcms/kongphp/cache/cache_redis.class.php
  • 位置: 第 85 行
    <?php echo 'KongPHP, Road to Jane.'; ?>