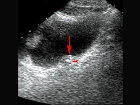
男,25岁,左腰痛2小时伴镜下血尿,超声显示左肾盂左输尿管轻度扩张,膀胱超声图如下,可提示诊断是?(?)A.左输尿管囊肿B.左输尿管结石C.左...

作者: rantiku 人气: - 评论: 0
问题 男,25岁,左腰痛2小时伴镜下血尿,超声显示左肾盂左输尿管轻度扩张,膀胱超声图如下,可提示诊断是?(?)
选项 A.左输尿管囊肿 B.左输尿管结石 C.左输尿管肿瘤 D.左输尿管狭窄 E.以上都不是
答案 B
解析

猜你喜欢

发表评论
更多 网友评论0 条评论)
暂无评论

访问排行

Copyright © 2012-2014 恰考网 Inc. 保留所有权利。 Powered by tikuer.com

页面耗时0.0382秒, 内存占用1.03 MB, Cache:redis,访问数据库14次