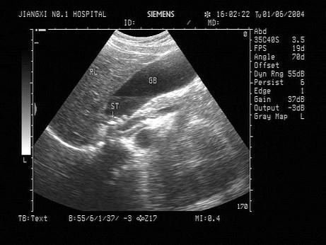
女,35岁,上腹经常疼痛不适。声像图如图所示。结合超声声像图,诊断为?(?)A.胆囊多发性息肉B.胆泥淤积C.胆囊多发性腺瘤D.胆囊蛔虫残...

作者: rantiku 人气: - 评论: 0
问题 女,35岁,上腹经常疼痛不适。声像图如图所示。结合超声声像图,诊断为?(?)
选项 A.胆囊多发性息肉 B.胆泥淤积 C.胆囊多发性腺瘤 D.胆囊蛔虫残骸 E.胆囊多发性结石
答案 E
解析

猜你喜欢

发表评论
更多 网友评论0 条评论)
暂无评论

访问排行

Copyright © 2012-2014 恰考网 Inc. 保留所有权利。 Powered by tikuer.com

页面耗时0.0954秒, 内存占用1.03 MB, Cache:redis,访问数据库19次