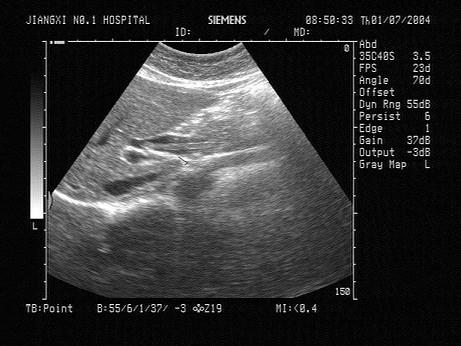
女,25岁,上腹部剧烈疼痛数小时。皮肤巩膜无黄染,无发热,声像图如图所示,诊断为?(?)A.胆总管引流管回声B.胆总管结石C.胆总管蛔虫D...

作者: rantiku 人气: - 评论: 0
问题 女,25岁,上腹部剧烈疼痛数小时。皮肤巩膜无黄染,无发热,声像图如图所示,诊断为?(?)
选项 A.胆总管引流管回声 B.胆总管结石 C.胆总管蛔虫 D.胆总管胆汁淤积 E.胆总管癌
答案 C
解析

猜你喜欢

发表评论
更多 网友评论0 条评论)
暂无评论

访问排行

Copyright © 2012-2014 恰考网 Inc. 保留所有权利。 Powered by tikuer.com

页面耗时0.0393秒, 内存占用1.03 MB, Cache:redis,访问数据库18次