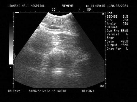
男,27岁,上腹疼痛。声像图如图所示。结合超声声像图,诊断为?(?)A.胆总管下段结石B.胆总管下段蛔虫C.胆总管下段癌D.胆总下段胆汁淤...

作者: rantiku 人气: - 评论: 0
问题 男,27岁,上腹疼痛。声像图如图所示。结合超声声像图,诊断为?(?)
选项 A.胆总管下段结石 B.胆总管下段蛔虫 C.胆总管下段癌 D.胆总下段胆汁淤积 E.胰腺癌
答案 A
解析

猜你喜欢

发表评论
更多 网友评论0 条评论)
暂无评论

访问排行

Copyright © 2012-2014 恰考网 Inc. 保留所有权利。 Powered by tikuer.com

页面耗时0.0481秒, 内存占用1.03 MB, Cache:redis,访问数据库17次