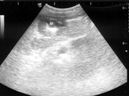
患者女76岁,上腹部胀痛不适半年余,加重1周。剑突下B超检查如图所示,根据超声声像图诊断为?(?)A.胃癌B.胃溃疡C.肾癌D.结肠癌E、...

作者: rantiku 人气: - 评论: 0
问题 患者女76岁,上腹部胀痛不适半年余,加重1周。剑突下B超检查如图所示,根据超声声像图诊断为?(?)
选项 A.胃癌 B.胃溃疡 C.肾癌 D.结肠癌E、胃炎 E.胆总管蛔虫
答案 A
解析

猜你喜欢

发表评论
更多 网友评论0 条评论)
暂无评论

访问排行

Copyright © 2012-2014 恰考网 Inc. 保留所有权利。 Powered by tikuer.com

页面耗时0.0598秒, 内存占用1.03 MB, Cache:redis,访问数据库15次