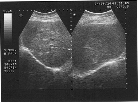
女,40岁,有时右上腹隐痛2年余。结合超声声像图,最可能的诊断为?(?)A.肝血管瘤B.肝脓肿C.小肝癌D.转移性肝癌E.肝囊肿

作者: rantiku 人气: - 评论: 0
问题 女,40岁,有时右上腹隐痛2年余。结合超声声像图,最可能的诊断为?(?)
选项 A.肝血管瘤 B.肝脓肿 C.小肝癌 D.转移性肝癌 E.肝囊肿
答案 A
解析

猜你喜欢

发表评论
更多 网友评论0 条评论)
暂无评论

访问排行

Copyright © 2012-2014 恰考网 Inc. 保留所有权利。 Powered by tikuer.com

页面耗时0.0546秒, 内存占用1.03 MB, Cache:redis,访问数据库18次