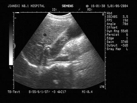
女,34岁,上腹疼痛不适数年,加重二天。声像图如图所示。结合超声声像图,诊断为?(?)A.胆囊颈部结石并化脓性胆囊炎B.胆囊颈部息肉C.胆囊颈...

作者: rantiku 人气: - 评论: 0
问题 女,34岁,上腹疼痛不适数年,加重二天。声像图如图所示。结合超声声像图,诊断为?(?)
选项 A.胆囊颈部结石并化脓性胆囊炎 B.胆囊颈部息肉 C.胆囊颈部腺瘤 D.胆囊颈部蛔虫 E.胆囊癌
答案 A
解析

猜你喜欢

发表评论
更多 网友评论0 条评论)
暂无评论

访问排行

Copyright © 2012-2014 恰考网 Inc. 保留所有权利。 Powered by tikuer.com

页面耗时0.0303秒, 内存占用1.03 MB, Cache:redis,访问数据库19次