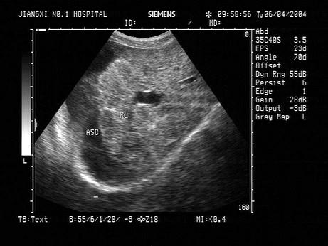
男,70岁,上腹胀痛,腹膨隆。脾大,门静脉增宽。结合超声声像图,诊断为?(?)A.肝血管瘤B.肝癌C.血吸虫肝纤维化并腹水D.肝脓肿E...

作者: rantiku 人气: - 评论: 0
问题 男,70岁,上腹胀痛,腹膨隆。脾大,门静脉增宽。结合超声声像图,诊断为?(?)
选项 A.肝血管瘤 B.肝癌 C.血吸虫肝纤维化并腹水 D.肝脓肿 E.脂肪肝
答案 C
解析

猜你喜欢

发表评论
更多 网友评论0 条评论)
暂无评论

访问排行

Copyright © 2012-2014 恰考网 Inc. 保留所有权利。 Powered by tikuer.com

页面耗时0.0375秒, 内存占用1.03 MB, Cache:redis,访问数据库20次