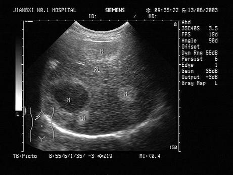
男,48岁,上腹隐痛,有胃病史。结合超声声像图,最可能的诊断为?(?)A.肝包虫病B.肝多发性血管瘤C.肝癌D.脂肪肝E.肝囊肿

作者: rantiku 人气: - 评论: 0
问题 男,48岁,上腹隐痛,有胃病史。结合超声声像图,最可能的诊断为?(?)
选项 A.肝包虫病 B.肝多发性血管瘤 C.肝癌 D.脂肪肝 E.肝囊肿
答案 B
解析

猜你喜欢

发表评论
更多 网友评论0 条评论)
暂无评论

访问排行

Copyright © 2012-2014 恰考网 Inc. 保留所有权利。 Powered by tikuer.com

页面耗时0.0374秒, 内存占用1.03 MB, Cache:redis,访问数据库19次