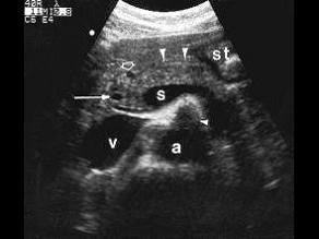
男,27岁,健康体检,超声图中箭头所指为?(?)A.肠系膜上动脉B.肠系膜上静脉C.胆总管D.肝动脉E.门静脉

作者: rantiku 人气: - 评论: 0
问题 男,27岁,健康体检,超声图中箭头所指为?(?)
选项 A.肠系膜上动脉 B.肠系膜上静脉 C.胆总管 D.肝动脉 E.门静脉
答案 C
解析

猜你喜欢

发表评论
更多 网友评论0 条评论)
暂无评论

访问排行

Copyright © 2012-2014 恰考网 Inc. 保留所有权利。 Powered by tikuer.com

页面耗时0.0380秒, 内存占用1.02 MB, Cache:redis,访问数据库13次