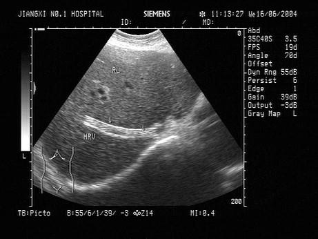
一患者有介入手术史,具体病史不祥。肝脏超声检查声像图如下,图中箭头所示最可能的是?(?)A.支架B.蛔虫C.结石D.正常结构E.肝静脉

作者: rantiku 人气: - 评论: 0
问题 一患者有介入手术史,具体病史不祥。肝脏超声检查声像图如下,图中箭头所示最可能的是?(?)
选项 A.支架 B.蛔虫 C.结石 D.正常结构 E.肝静脉
答案 A
解析

猜你喜欢

发表评论
更多 网友评论0 条评论)
暂无评论

访问排行

Copyright © 2012-2014 恰考网 Inc. 保留所有权利。 Powered by tikuer.com

页面耗时0.0448秒, 内存占用1.03 MB, Cache:redis,访问数据库19次