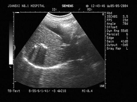
患者体检超声见右肝一点状的强回声光斑,不伴声影,不沿肝管走行,如图所示,考虑为?(?)A.肝脓肿B.肝结核C.肝管结石D.钙化灶E.肝...

作者: rantiku 人气: - 评论: 0
问题 患者体检超声见右肝一点状的强回声光斑,不伴声影,不沿肝管走行,如图所示,考虑为?(?)
选项 A.肝脓肿 B.肝结核 C.肝管结石 D.钙化灶 E.肝内胆管积气
答案 D
解析

猜你喜欢

发表评论
更多 网友评论0 条评论)
暂无评论

访问排行

Copyright © 2012-2014 恰考网 Inc. 保留所有权利。 Powered by tikuer.com

页面耗时0.0432秒, 内存占用1.03 MB, Cache:redis,访问数据库19次