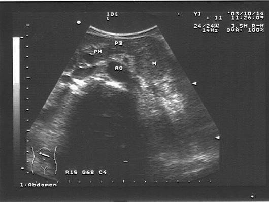
某腹胀患者中腹部声像图表现,最可能的诊断是?(?)A.胰尾癌B.胰腺炎C.胰头癌D.正常图像肿大淋巴结

作者: rantiku 人气: - 评论: 0
问题 某腹胀患者中腹部声像图表现,最可能的诊断是?(?)
选项 A.胰尾癌 B.胰腺炎 C.胰头癌 D.正常图像肿大淋巴结
答案 A
解析

猜你喜欢

发表评论
更多 网友评论0 条评论)
暂无评论

访问排行

Copyright © 2012-2014 恰考网 Inc. 保留所有权利。 Powered by tikuer.com

页面耗时0.0583秒, 内存占用1.03 MB, Cache:redis,访问数据库14次