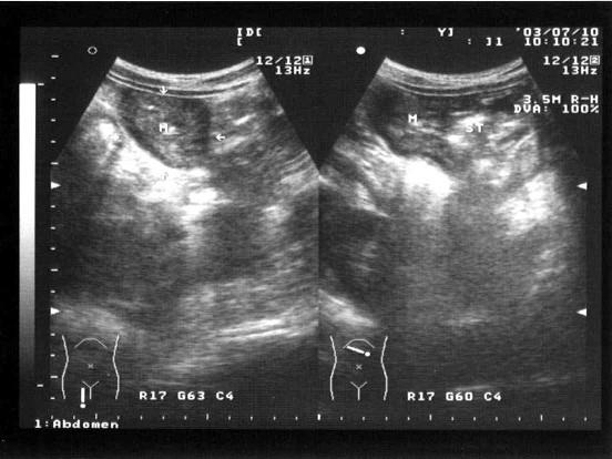
患者,消瘦,于左上腹触及一包块,超声见一大小5×7cm的呈假肾征的光团,如图所示,考虑为?(?)A.胰腺癌B.胆囊癌C.肝癌D.胃癌E...

作者: rantiku 人气: - 评论: 0
问题 患者,消瘦,于左上腹触及一包块,超声见一大小5×7cm的呈假肾征的光团,如图所示,考虑为?(?)
选项 A.胰腺癌 B.胆囊癌 C.肝癌 D.胃癌 E.左肾癌
答案 D
解析

猜你喜欢

发表评论
更多 网友评论0 条评论)
暂无评论

访问排行

Copyright © 2012-2014 恰考网 Inc. 保留所有权利。 Powered by tikuer.com

页面耗时0.0406秒, 内存占用1.03 MB, Cache:redis,访问数据库19次