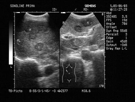
如图可诊断为?(?)A.小肝癌B.肝转移癌C.肝脓肿D.多发肝血管瘤E.肝囊肿

作者: rantiku 人气: - 评论: 0
问题 如图可诊断为?(?)
选项 A.小肝癌 B.肝转移癌 C.肝脓肿 D.多发肝血管瘤 E.肝囊肿
答案 B
解析

猜你喜欢

发表评论
更多 网友评论0 条评论)
暂无评论

访问排行

Copyright © 2012-2014 恰考网 Inc. 保留所有权利。 Powered by tikuer.com

页面耗时0.0355秒, 内存占用1.03 MB, Cache:redis,访问数据库16次