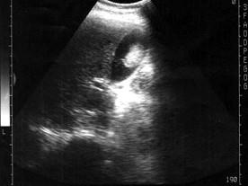
患者男56岁,上腹部不适1年余,B超检查如图所示,根据超声声像图,诊断为?(?)A.胆囊结石B.胆囊息肉C.胆囊癌D.胆囊腺瘤E.胆囊腺肌瘤

作者: rantiku 人气: - 评论: 0
问题 患者男56岁,上腹部不适1年余,B超检查如图所示,根据超声声像图,诊断为?(?)
选项 A.胆囊结石 B.胆囊息肉 C.胆囊癌 D.胆囊腺瘤 E.胆囊腺肌瘤
答案 D
解析

猜你喜欢

发表评论
更多 网友评论0 条评论)
暂无评论

访问排行

Copyright © 2012-2014 恰考网 Inc. 保留所有权利。 Powered by tikuer.com

页面耗时0.0403秒, 内存占用1.03 MB, Cache:redis,访问数据库20次