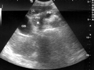
患者女48岁,上腹部疼痛不适3个月,皮肤巩膜黄染1个月余。B超检查如图所示,根据超声声像图诊断为?(?)A.胆总管下段癌B.壶腹部癌C.胰头癌...

作者: rantiku 人气: - 评论: 0
问题 患者女48岁,上腹部疼痛不适3个月,皮肤巩膜黄染1个月余。B超检查如图所示,根据超声声像图诊断为?(?)
选项 A.胆总管下段癌 B.壶腹部癌 C.胰头癌 D.腹主动脉旁肿大淋巴结 E.结肠癌
答案 C
解析

猜你喜欢

发表评论
更多 网友评论0 条评论)
暂无评论

访问排行

Copyright © 2012-2014 恰考网 Inc. 保留所有权利。 Powered by tikuer.com

页面耗时0.0465秒, 内存占用1.03 MB, Cache:redis,访问数据库19次