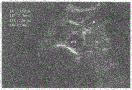
临床资料:男,50岁,肺癌术后肝转移。超声综合描述:腹主动脉前方可见多个大小不等低回声,最大4.0cm×2.3cm,边界尚清晰,形态不规则,部分相互融...

作者: rantiku 人气: - 评论: 0
问题 临床资料:男,50岁,肺癌术后肝转移。 超声综合描述:腹主动脉前方可见多个大小不等低回声,最大4.0cm×2.3cm,边界尚清晰,形态不规则,部分相互融合。 超声提示:
选项 A.腹腔多发肿大淋巴结(淋巴结转移癌) B.腹膜后畸胎瘤 C.胃癌 D.平滑肌肉瘤
答案 A
解析

猜你喜欢

发表评论
更多 网友评论0 条评论)
暂无评论

访问排行

Copyright © 2012-2014 恰考网 Inc. 保留所有权利。 Powered by tikuer.com

页面耗时0.0482秒, 内存占用1.03 MB, Cache:redis,访问数据库18次