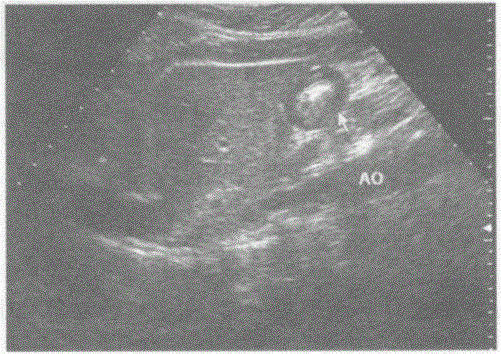
下图是肝脏纵切超声图像,请回答箭头所指部位的解剖名称:A.胃B.肝外生性实性占位C.小肠D.胰头占位

作者: rantiku 人气: - 评论: 0
问题 下图是肝脏纵切超声图像,请回答箭头所指部位的解剖名称:
选项 A.胃 B.肝外生性实性占位 C.小肠 D.胰头占位
答案 A
解析

猜你喜欢

发表评论
更多 网友评论0 条评论)
暂无评论

访问排行

Copyright © 2012-2014 恰考网 Inc. 保留所有权利。 Powered by tikuer.com

页面耗时0.0453秒, 内存占用1.03 MB, Cache:redis,访问数据库15次