临床资料:女,40岁,常规体检。超声综合描述:腹主动脉下腔静脉前方,胰头右侧可见3.6cm×3.4cm圆形低回声区,边界清晰,包膜完整,内回声尚均匀,...

作者: rantiku 人气: - 评论: 0
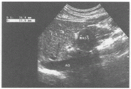
问题 临床资料:女,40岁,常规体检。 超声综合描述:腹主动脉下腔静脉前方,胰头右侧可见3.6cm×3.4cm圆形低回声区,边界清晰,包膜完整,内回声尚均匀,CDFI:内未明显血流信号,周边可见血管绕行。见下图及彩图。 {图3} 超声提示:
选项 A.腹腔肿大淋巴结 B.胰头癌 C.胰头炎性假瘤 D.腹膜后实性占位
答案 D
解析

猜你喜欢

发表评论
更多 网友评论0 条评论)
暂无评论

访问排行

Copyright © 2012-2014 恰考网 Inc. 保留所有权利。 Powered by tikuer.com

页面耗时0.0796秒, 内存占用1.03 MB, Cache:redis,访问数据库16次