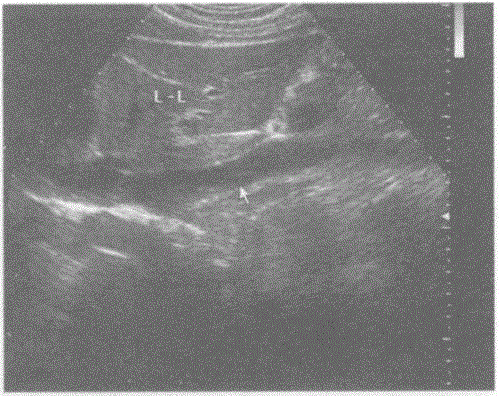
请回答下图箭头所指部位及彩图取样门宽所采及部位的解剖名称:A.门静脉B.下腔静脉C.腹主动脉D.肝静脉

作者: rantiku 人气: - 评论: 0
问题 请回答下图箭头所指部位及彩图取样门宽所采及部位的解剖名称:
选项 A.门静脉 B.下腔静脉 C.腹主动脉 D.肝静脉
答案 B
解析

猜你喜欢

发表评论
更多 网友评论0 条评论)
暂无评论

访问排行

Copyright © 2012-2014 恰考网 Inc. 保留所有权利。 Powered by tikuer.com

页面耗时0.0387秒, 内存占用1.03 MB, Cache:redis,访问数据库19次