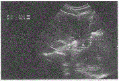
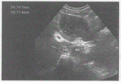
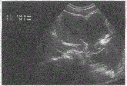
临床资料:女,34岁,自述进食后上腹部不适。超声综合描述:腹主动脉下腔静脉前方可见10.1cm×9.3cm形态不规则低回声,边界清晰,内回声不均匀,肝...

作者: rantiku 人气: - 评论: 0
问题 临床资料:女,34岁,自述进食后上腹部不适。 超声综合描述:腹主动脉下腔静脉前方可见10.1cm×9.3cm形态不规则低回声,边界清晰,内回声不均匀,肝左叶受其推挤形态失常。 超声提示:
选项 A.胰腺癌 B.胃平滑肌肉瘤 C.肝癌 D.腹腔肿大淋巴结
答案 B
解析

猜你喜欢

发表评论
更多 网友评论0 条评论)
暂无评论

访问排行

Copyright © 2012-2014 恰考网 Inc. 保留所有权利。 Powered by tikuer.com

页面耗时0.0446秒, 内存占用1.03 MB, Cache:redis,访问数据库14次