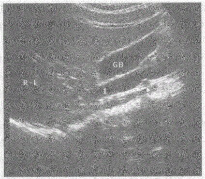
请回答1和箭头所指部位声像图的断面解剖名称:A.下腔静脉和右肾动脉B.下腔静脉和左肾动脉C.腹主动脉和左肾静脉D.腹主动脉和右肾静脉

作者: rantiku 人气: - 评论: 0
问题 请回答1和箭头所指部位声像图的断面解剖名称:
选项 A.下腔静脉和右肾动脉 B.下腔静脉和左肾动脉 C.腹主动脉和左肾静脉 D.腹主动脉和右肾静脉
答案 A
解析

猜你喜欢

发表评论
更多 网友评论0 条评论)
暂无评论

访问排行

Copyright © 2012-2014 恰考网 Inc. 保留所有权利。 Powered by tikuer.com

页面耗时0.0465秒, 内存占用1.03 MB, Cache:redis,访问数据库20次