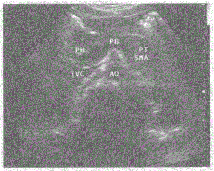
请回答下图及彩图声像图中1、2、3所指部位的解剖名称:{图1}A.1-脾静脉、2-下腔静脉、3-腹主动脉B.1-门静脉、2-下腔静脉、3-腹主...

作者: rantiku 人气: - 评论: 0
问题 请回答下图及彩图声像图中1、2、3所指部位的解剖名称: {图1}
选项 A.1-脾静脉、2-下腔静脉、3-腹主动脉 B.1-门静脉、2-下腔静脉、3-腹主动脉 C.1-脾静脉、2-右肾静脉、3-腹主动脉 D.1-脾静脉、2-下腔静脉、3-肠系膜上动脉
答案 A
解析

猜你喜欢

发表评论
更多 网友评论0 条评论)
暂无评论

访问排行

Copyright © 2012-2014 恰考网 Inc. 保留所有权利。 Powered by tikuer.com

页面耗时0.0323秒, 内存占用1.03 MB, Cache:redis,访问数据库19次