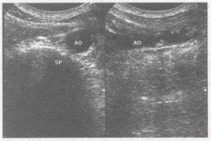
临床资料:男,46岁,自述患高血压、高血脂、糖尿病,常规体检。超声综合描述:腹主动脉内膜粗糙,连续性差,管壁回声强弱不均,可见多个大小不等强回声、中等...

作者: rantiku 人气: - 评论: 0
问题 临床资料:男,46岁,自述患高血压、高血脂、糖尿病,常规体检。 超声综合描述:腹主动脉内膜粗糙,连续性差,管壁回声强弱不均,可见多个大小不等强回声、中等回声光团,部分后伴声影。 超声提示:
选项 A.腹主动脉正常声像图 B.腹主动脉瘤 C.大动脉炎 D.腹主动脉粥样硬化并多发软斑、钙化斑形成
答案 D
解析

猜你喜欢

发表评论
更多 网友评论0 条评论)
暂无评论

访问排行

Copyright © 2012-2014 恰考网 Inc. 保留所有权利。 Powered by tikuer.com

页面耗时0.0558秒, 内存占用1.03 MB, Cache:redis,访问数据库19次