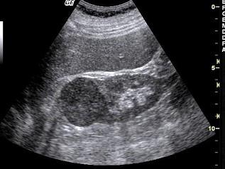
男性,45岁,因出现无痛性血尿半月余就诊,根据超声声像图提示,最可能的诊断是?(?)A.肾细胞癌B.肾结核C.肾囊肿D.肾脓肿E.肾结石

作者: rantiku 人气: - 评论: 0
问题 男性,45岁,因出现无痛性血尿半月余就诊,根据超声声像图提示,最可能的诊断是?(?)
选项 A.肾细胞癌 B.肾结核 C.肾囊肿 D.肾脓肿 E.肾结石
答案 A
解析

猜你喜欢

发表评论
更多 网友评论0 条评论)
暂无评论

访问排行

Copyright © 2012-2014 恰考网 Inc. 保留所有权利。 Powered by tikuer.com

页面耗时0.0549秒, 内存占用1.03 MB, Cache:redis,访问数据库19次