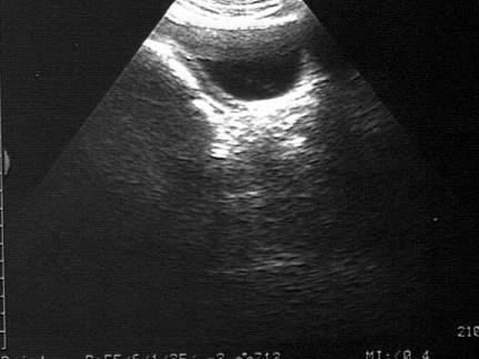
女性,18岁,月经不来潮就诊。超声检查如图,最可能的诊断为?(?)A.畸胎瘤B.先天性无子宫C.子宫肌瘤D.双子宫E.始基子宫

作者: rantiku 人气: - 评论: 0
问题 女性,18岁,月经不来潮就诊。超声检查如图,最可能的诊断为?(?)
选项 A.畸胎瘤 B.先天性无子宫 C.子宫肌瘤 D.双子宫 E.始基子宫
答案 B
解析

猜你喜欢

发表评论
更多 网友评论0 条评论)
暂无评论

访问排行

Copyright © 2012-2014 恰考网 Inc. 保留所有权利。 Powered by tikuer.com

页面耗时0.0338秒, 内存占用1.02 MB, Cache:redis,访问数据库14次