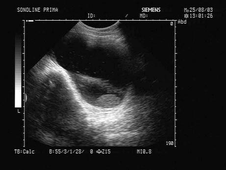
女,34岁,B超检查,盆腔内可见一肿块,声像图如下,最可能的诊断为?(?)A.巧克力囊肿B.畸胎瘤C.炎性包块D.宫外孕E.附件囊肿

作者: rantiku 人气: - 评论: 0
问题 女,34岁,B超检查,盆腔内可见一肿块,声像图如下,最可能的诊断为?(?)
选项 A.巧克力囊肿 B.畸胎瘤 C.炎性包块 D.宫外孕 E.附件囊肿
答案 B
解析

猜你喜欢

发表评论
更多 网友评论0 条评论)
暂无评论

访问排行

Copyright © 2012-2014 恰考网 Inc. 保留所有权利。 Powered by tikuer.com

页面耗时0.0314秒, 内存占用1.03 MB, Cache:redis,访问数据库16次