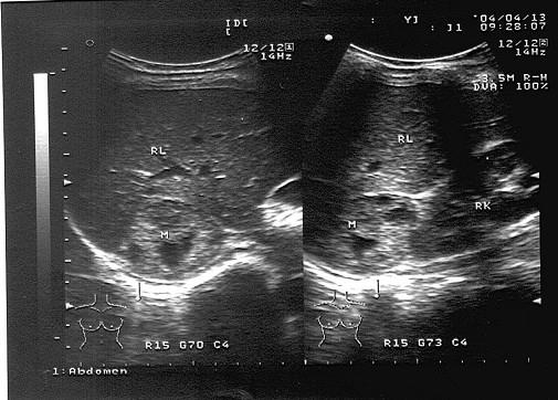
女性,41岁,有阵发性高血压病史,超声检查如图所示,该病例最可能诊断?(?)A.腺瘤B.肾脏肿瘤C.嗜络细胞瘤D.髓样脂肪瘤E.肾上腺转移瘤

作者: rantiku 人气: - 评论: 0
问题 女性,41岁,有阵发性高血压病史,超声检查如图所示,该病例最可能诊断?(?)
选项 A.腺瘤 B.肾脏肿瘤 C.嗜络细胞瘤 D.髓样脂肪瘤 E.肾上腺转移瘤
答案 C
解析

猜你喜欢

发表评论
更多 网友评论0 条评论)
暂无评论

访问排行

Copyright © 2012-2014 恰考网 Inc. 保留所有权利。 Powered by tikuer.com

页面耗时0.0340秒, 内存占用1.03 MB, Cache:redis,访问数据库19次