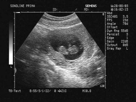
下图为宫内孕囊声像图,可见心管搏动,该胎儿至少大于多少周?(?)A.6周B.9周C.10周D.12周E.8周

作者: rantiku 人气: - 评论: 0
问题 下图为宫内孕囊声像图,可见心管搏动,该胎儿至少大于多少周?(?)
选项 A.6周 B.9周 C.10周 D.12周 E.8周
答案 A
解析

猜你喜欢

发表评论
更多 网友评论0 条评论)
暂无评论

访问排行

Copyright © 2012-2014 恰考网 Inc. 保留所有权利。 Powered by tikuer.com

页面耗时0.0434秒, 内存占用1.03 MB, Cache:redis,访问数据库19次