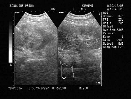
男性,60岁,无痛性血尿,腰部疼痛,该病例最可能的诊断?(?)A.肾错构瘤B.肾脏局灶性炎症C.肾周围脓肿D.肾脏肿瘤E.肾母细胞瘤

作者: rantiku 人气: - 评论: 0
问题 男性,60岁,无痛性血尿,腰部疼痛,该病例最可能的诊断?(?)
选项 A.肾错构瘤 B.肾脏局灶性炎症 C.肾周围脓肿 D.肾脏肿瘤 E.肾母细胞瘤
答案 D
解析

猜你喜欢

发表评论
更多 网友评论0 条评论)
暂无评论

访问排行

Copyright © 2012-2014 恰考网 Inc. 保留所有权利。 Powered by tikuer.com

页面耗时0.0595秒, 内存占用1.03 MB, Cache:redis,访问数据库20次