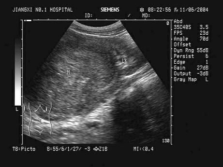
男性,4岁,因左肾区不适就诊,无外伤史,无发热,左腹部可扪及肿块。根据其声像图,可能的诊断为?(?)A.肾母细胞癌B.急性肾炎C.肾血管平滑肌...

作者: rantiku 人气: - 评论: 0
问题 男性,4岁,因左肾区不适就诊,无外伤史,无发热,左腹部可扪及肿块。根据其声像图,可能的诊断为?(?)
选项 A.肾母细胞癌 B.急性肾炎 C.肾血管平滑肌脂肪瘤 D.肾脓肿 E.肾癌
答案 A
解析

猜你喜欢

发表评论
更多 网友评论0 条评论)
暂无评论

访问排行

Copyright © 2012-2014 恰考网 Inc. 保留所有权利。 Powered by tikuer.com

页面耗时0.0345秒, 内存占用1.03 MB, Cache:redis,访问数据库19次