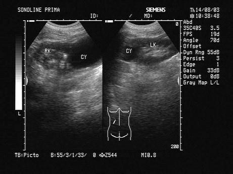
超声检查如图所示,该病例最可能诊断?(?)A.肾多囊性发育异常B.肾肿瘤C.肾囊肿D.多囊肿E.肾局限性积水

作者: rantiku 人气: - 评论: 0
问题 超声检查如图所示,该病例最可能诊断?(?)
选项 A.肾多囊性发育异常 B.肾肿瘤 C.肾囊肿 D.多囊肿 E.肾局限性积水
答案 C
解析

猜你喜欢

发表评论
更多 网友评论0 条评论)
暂无评论

访问排行

Copyright © 2012-2014 恰考网 Inc. 保留所有权利。 Powered by tikuer.com

页面耗时0.0456秒, 内存占用1.03 MB, Cache:redis,访问数据库19次