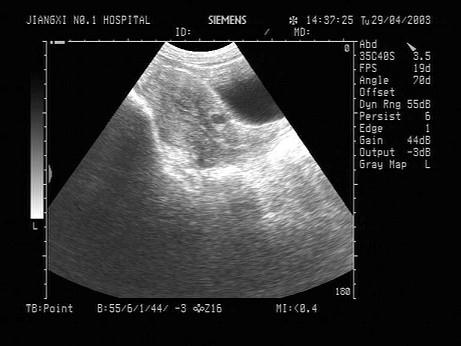
女性,32岁,因反复外阴瘙痒、白带异味就诊。超声检查如图,应诊断为?(?)A.子宫内膜癌B.宫颈囊肿C.子宫肌瘤D.宫腔残留E.宫颈炎

作者: rantiku 人气: - 评论: 0
问题 女性,32岁,因反复外阴瘙痒、白带异味就诊。超声检查如图,应诊断为?(?)
选项 A.子宫内膜癌 B.宫颈囊肿 C.子宫肌瘤 D.宫腔残留 E.宫颈炎
答案 B
解析

猜你喜欢

发表评论
更多 网友评论0 条评论)
暂无评论

访问排行

Copyright © 2012-2014 恰考网 Inc. 保留所有权利。 Powered by tikuer.com

页面耗时0.0693秒, 内存占用1.03 MB, Cache:redis,访问数据库20次